Follow us :-
Home News The Rise of Direct Composite Veneers in Modern Dentistry

The Rise of Direct Composite Veneers in Modern Dentistry

EN
The Rise of Direct Composite Veneers in Modern Dentistry
News •

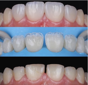
As the demand for aesthetic dentistry reaches an all-time high, dental professionals are increasingly turning to Direct Composite Veneers as a primary solution for patient-centered smile design. This shift marks a significant move toward "conservative esthetics," prioritizing the preservation of natural tooth structure while delivering immediate, high-impact results.

Unlike traditional porcelain veneers, which require laboratory fabrication and multiple appointments, direct veneers allow the clinician to act as both doctor and artist, sculpting the restoration chairside in a single session.

 

The Art of the Single Appointment

The "Direct" method utilizes advanced light-cured composite resin materials that have seen massive technological leaps in recent years. Today’s composites offer superior polishability and a range of opacities that allow dentists to mimic the natural translucency of human enamel.

Key Clinical Benefits Include:

  • Minimal Intervention: Most direct veneer cases require little to no removal of the healthy tooth surface, making the procedure often reversible.
  • Instant Gratification: Patients walk out with a transformed smile in a single visit, avoiding the need for temporary restorations.
  • Cost-Effectiveness: By eliminating laboratory fees, direct veneers provide a high-end aesthetic result at a more accessible price point for a wider demographic of patients.
  • Repairability: If a chip occurs, composite material can be added and blended seamlessly in minutes, which is impossible with fractured porcelain.
 

Ideal Candidates for Direct Veneers

While porcelain remains the gold standard for certain heavy-wear cases, direct veneers are the preferred indication for:

  1. Closing Midline Diastemas: Filling gaps between front teeth for a more uniform appearance.
  2. Masking Tetracycline Staining: Covering deep internal discolorations that whitening cannot reach.
  3. Correcting Minor Malalignments: Providing a "straight" appearance for slightly rotated teeth.
  4. Restoring Incisal Chips: Rebuilding the edges of teeth worn down by age or minor trauma.Zanwer Azad Abdul
    Assistant Lecturer, Faculty of Dentistry
    Qaiwan International University